X-ray

レントゲン分析による精密な骨格評価

渋谷TMJ歯科クリニック|頭蓋・頸椎と顎位・咬合の関係について

渋谷TMJ歯科クリニックでは、頭蓋および頸椎の歪みが顎位(あごの位置)と咬合(噛み合わせ)の乱れを引き起こし、その結果として顔の歪み、顎関節症、食いしばり、ストレートネックによる強い肩こり、さらには自律神経の乱れへとつながると考えています。

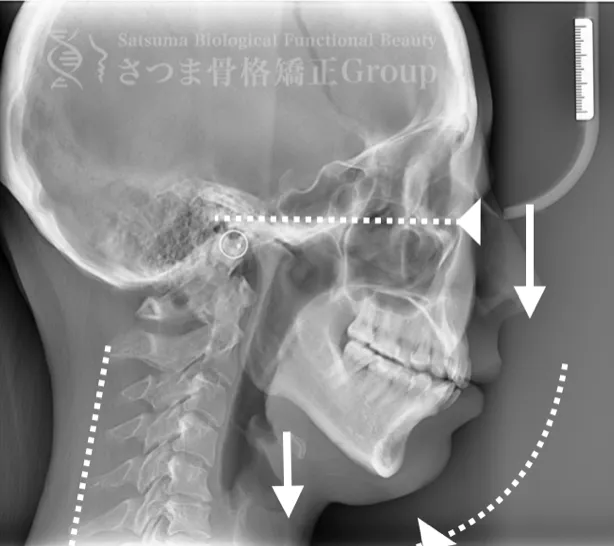
これらの問題を正確に評価するため、当院では セファロシステムによるレントゲン撮影(X-ray images) を行っています。
セファロ撮影によって 顎関節・頭蓋骨・頸椎の位置関係を客観的に可視化でき、施術前の状態を科学的に把握することが可能となります。

その結果、

• 顎位のズレ
• 咬合の乱れ
• 頭位・頸椎姿勢のバランス
• 筋肉・関節の負担部位

を精密に分析し、
患者様ごとに最適な施術プランを立て、歯科治療+骨格施術をしていきます。

医療提携による
スムーズな流れ

当院は、さつま骨格矯正 渋谷・恵比寿本院と同じ藤本ビル8階にあり、撮影後すぐにデータをお渡しできます。

撮影したレントゲン写真は、当クリニックのドクターと連携院(さつま骨格矯正)施術チームによって分析され、施術計画の立案に活用されます。

【検査の流れ】

  1. 渋谷TMJ歯科クリニックでレントゲン撮影
  2. 撮影データを連携院へ提供
  3. TMJクリニックのドクターと連携院にて分析・施術計画の決定

施術の前後で撮影したレントゲン写真を比較することで、改善の度合いや変化を一目で確認できます。

上部へスクロール